審美セラミック治療|蒲田の歯医者|痛くないやさしい治療のクリーン歯科|平日土日祝19時まで診療
審美歯科とは
審美歯科は、周囲と調和のとれた美しい口元を実現することをひとつの目的としていますが、「ただ白くきれいにする」だけではなく、その美しさをより長く維持させ、健康的な状態に維持させることも目的としています。
審美歯科治療を行うことによって、よりご自分の笑顔に自信が持て、よりお口の中が健康的になり、快適になることを実感していただけると思います。
こんな方におすすめ
- 周囲と調和のとれた自然な見た目を希望される方
- 年数が経っても美しさを維持したい方
- 被せ物や詰め物の変色や銀歯の色が気になっている方
- より体に優しい材料で治療したい方
- 歯の健康をより長く維持したい方
セラミック治療
セラミック治療は審美というイメージを持たれますが、むし歯や歯周病予防にも最適な治療方法です。一言で白い被せ物といっても、セラミックと保険の物を比較すると、見た目だけではなく、体への影響(アレルギーを心配する必要がありません)や、被せ物、詰め物の強度が大きく違い、おすすめです。
※費用や治療スケジュールにつきましては、クリーン歯科のスタッフまでご相談くださいませ。
セラミック
- 光の透過性が天然歯に近いため、自然な見た目を再現できる
- 着色や変色をほとんどせず、艶も含めてキレイな状態が続く
- 接着材(セメント)も保険適応外のもので、強度が強く外れにくい
- 歯垢が付きにくく落としやすい(むし歯や歯周病の予防)
- 強度があり割れにくい
- 歯を削る量が保険のプラスチックより少ない
保険のプラスチック
- 光の透過性なく、歯っぽい色をベタ塗りした不自然な感じになる
- 着色や変色が起こり、急速に経年劣化する
- 接着材(セメント)も保険適応のもので、強度が低い
- 歯垢が付きやすく落としにくい(むし歯や歯周病が進行しやすい)
- 強度がなく割れやすい
- 強度を持たせる為に厚みが必要で、歯を削る量は多くなる
被せ物と詰め物の種類
オールジルコニア(人工ダイヤモンド)
ジルコニアは腐食にも強く、生体親和性が高いので、医療分野でも広く使われ、歯科治療における審美性の高い素材としても注目を集めています。
その硬さゆえに、これまで金属しか使われていなかった奥歯の被せものやブリッジ、噛み合わせの強い方の詰め物にも、昨今ではジルコニアが使用されるようになってきました。
- 非常に強度に優れ、ブリッジの適応が可能
- 強い力がかかる場所でも金属なしで作れる
- 年数が経っても変色、劣化することがない
- 歯垢が付きにくくむし歯や歯周病になりにくい
- 金属アレルギーのリスクがない
- 歯茎に黒い変色を起こさない
- 通常のセラミック処置より歯を削らずにすむ場合がある
- 奥歯でも使用が可能である(咬む力が強い方でもOK)
- 自然な噛みごこちで軽い(金の1/3の軽さ)
- 費用が高め
- とても硬いので、セット後に問題が生じた場合除去が困難
- 透明感に劣る
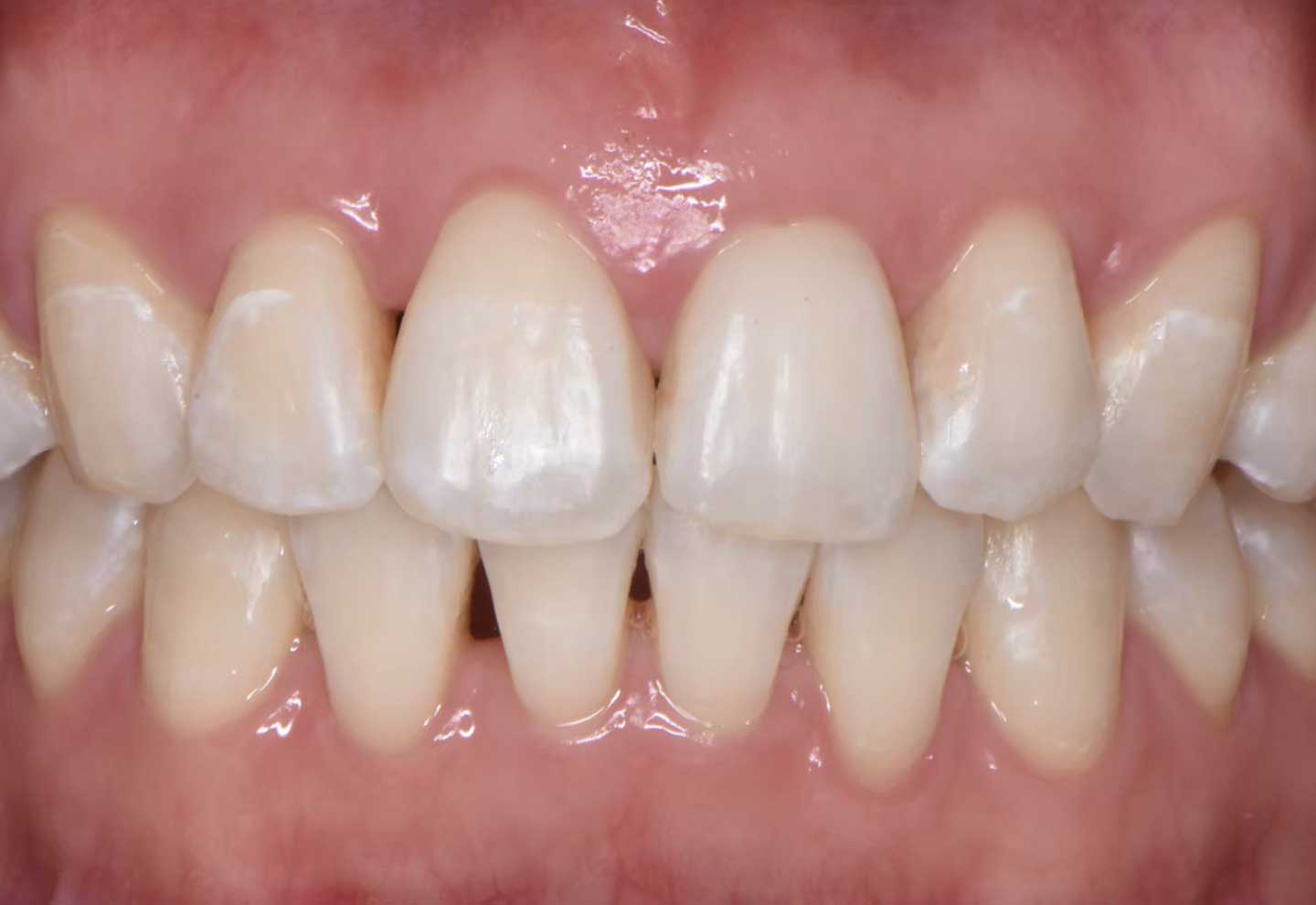
オールジルコニア(人工ダイヤモンド)症例
| 治療内容 |
セラミック治療 |
| 治療期間 |
約2か月 |
| 費用 |
約36万円(セラミック3本分) |
| リスク・副作用 |
セラミックは欠ける可能性がある |
e-max(改良型オールセラミック)
e-maxは、従来のオールセラミック(※)の欠点であった強度不足を改良した素材です。
クラウン(被せもの)やインレー(詰め物)としてはもちろん、ラミネートべニア(前歯前面などへの貼り付け)にも使用できるなど、その汎用性の高さが大きな特徴です。
透明感があり天然歯に近い見た目を再現できます。
※従来のセラミックとは、e-maxの登場以前の「最も美しいが割れやすい」もの
- 非常に見た目が良く、ほとんど変色しない
- 歯垢が付きにくくむし歯や歯周病になりにくい
- 金属アレルギーのリスクがない
- 歯茎に黒い変色を起こさない
- 強度と透明度がある
- ブリッジの適応に制限がある
- フレームタイプにセラミックを盛るクラウンに比べ、複雑な色付けには限界がある
- 噛み合わせが強い場所には適用できないことがある
- 良くも悪くも元の歯の色をひろってしまう
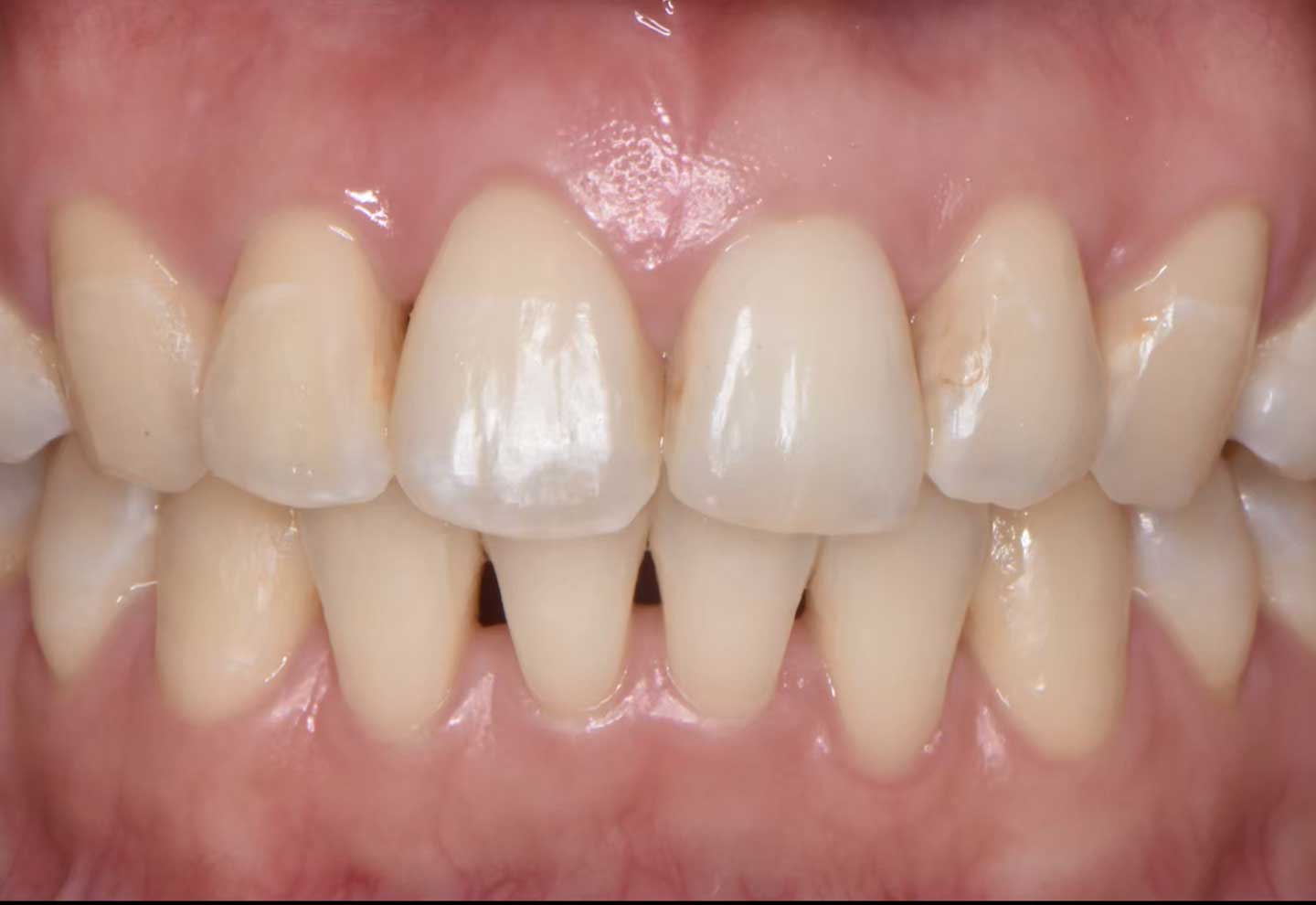
e-max(改良型オールセラミック)症例
| 治療内容 |
e-max治療 |
| 治療期間 |
型取りから約3週間 / 型取りとセットで2回 |
| 費用 |
82,500~165,000円(1歯)※自由診療 |
| リスク・副作用 |
・自由診療になります。
・歯を削る必要があります。
・強い咬合力や歯ぎしりにより欠けたり割れる可能性があります。 |
ジルコニアボンドセラミック
従来のセラミック(※)の被せ物の一種で、セラミックの強度を補うために、ジルコニアの裏打ちをしているものです。
セラミックの審美性と、ジルコニアの高い強度を兼ね備えた被せ物であり、前歯でも奥歯でも適応可能
※従来のセラミックとは、e-maxの登場以前の「最も美しいが割れやすい」もの
- 審美性(セラミック)と強度(ジルコニア)を兼ね備えており、ブリッジに適応できる
- 金属アレルギーの心配がない
- 歯茎に黒い変色を起こさない
- 表面のセラミック部分は美しいが、強度が弱く割れることもある
- 費用が高い
メタルボンドセラミック
従来のセラミック(※)の被せ物の一種で、セラミックの強度を補うために、金属の裏打ちをしているものです。
セラミックの審美性と、金属の高い強度を兼ね備えた被せ物であり、前歯にも可能ですが、審美性を要求されない奥歯に向いています。
※従来のセラミックとは、e-maxの登場以前の「最も美しいが割れやすい」もの
- 審美性(セラミック)と強度(金属)を兼ね備えており、ブリッジに適応できる
- ジルコニアボンドよりもやや経済的
- 高い審美性が要求される場所には向かない
- 金属アレルギーのリスクがある
- 歯茎の変色のリスクが多少ある
審美歯科のよくある質問
-
自費の被せ物、詰め物の保証はありますか?
-
基本的に2年間の保証がつきます。条件として、定期的にメンテナンスに来院いただく必要があります。
-
費用はどれくらいかかりますか?
-
どんな治療を何本行うかによって費用が変わってきます。詳しくは、クリーン歯科のスタッフまでご相談ください。
-
なぜ、歯は変色するのですか?
-
変色には様々な原因が考えられます。一般的に考えられる原因は加齢が大きく関係しています。歯の色というのは、歯の表面のエナメル質(半透明色)とその内にある象牙質(黄褐色)の色で決定されます。歯の構造は年齢と共にエナメル質は薄くなり、象牙質の厚みが増してきます。
-
セラミックはどのくらい持ちますか?
-
適切な接着と咬合設計が行われれば、長期的に安定して機能し続けます。
セラミックの寿命は、素材そのものよりも接着操作・噛み合わせ・歯周環境によって大きく左右されます。
当院ではラバーダム防湿、IDS(象牙質即時封鎖)、多段階の接着プロトコルなど、精密な接着操作を徹底しています。
さらに大学・学会レベルでの接着研究や最新の知見を取り入れながら、世界基準の接着と咬合設計を行っています。
そのため適切なメンテナンスが継続されれば長期的に安定するケースがほとんどです。2026年2月現時点では96%となっております。
ただ100%はないですし、噛むもの、噛み合わせにも寄るのが正直なお答えです。
当院では「見た目」だけでなく長く機能することを前提に設計しています。
-
IDSとは何ですか?
-
セラミック治療の接着精度を高める重要な工程です。
IDS(象牙質即時封鎖)は、歯を削った直後に象牙質を接着材で保護する処置です。
接着強度の向上や細菌侵入の抑制などの観点から、海外の研究や論文でも重要性が示されており、長期安定に寄与すると考えられています。
当院では、こうした学術的な知見に基づき、長く機能する修復治療を前提に接着工程を大切にしています。
-
ラバーダムとは何ですか?
-
セラミックを長持ちさせるための、防湿処置です。 歯は、唾液や湿気がある状態では 接着が弱くなります。 ラバーダムは 治療する歯だけを隔離し、 完全に乾いた状態を作るためのシートです。 見えない工程ですが、 この処置の有無で 接着精度と寿命は大きく変わります。 当院では ラバーダム、IDS、精密接着など 長期安定を前提とした工程を 徹底しています。
例えば、湿度が高いお風呂場、サウナ
ラバーダムの有無は治療の予後、長持ちするかしないかに大きく差が出ます。
私自身、口腔内にセラミックが入っているのですが、ラバーダムをしない環境でセラミックをつけるというのは絶対嫌だったので、ラバーダムをつけてからセラミックをセットしてくれる先生にお願いしてつけてもらった経験もあります。
-
他院で「抜歯してセラミック」と言われました。他に方法はありますか?
-
歯を残せる可能性があるか、まず精密に診断します。
歯の状態によっては抜歯が最善となる場合もありますが、精密な診断と治療によって保存できる可能性があるケースもあります。
当院では、CT、マイクロスコープ、精密根管治療、接着修復などを用い、残せる可能性を丁寧に検討します。
「抜く前に相談したい」という方のセカンドオピニオン来院も増えています。
-
安いセラミックとの違いは何ですか?
-
見た目ではなく、接着と設計の精度が大きく異なります。
セラミック治療の差は素材の価格だけで決まるものではありません。
・接着操作
・咬合設計
・形成精度
・技工精度
これらによって長期安定性は大きく変わります。
当院ではセラミックや接着のスタディーグループのインストラクターをしている歯科医師なので見た目だけでなく長く機能することを前提に設計しています。
-
削る量が心配です
-
できるだけ歯を守る設計を行います。
接着技術の進歩により、歯を大きく削らずに修復できるケースも増えています。
当院ではマイクロスコープを使用しながら歯の保存を前提とし、最小限の侵襲での治療を提供できます。
すぐ抜いてすぐインプラントは一切考えておりませんのでご安心してください。
-
セラミックは割れませんか?
-
歯科医師の技術、接着、咬合設計によってリスクは大きく変わります。
当院ではセラミックや接着のスタディーグループのインストラクターをしている歯科医師なので見た目だけでなく、長く機能することを前提に設計しています。
セラミックは非常に強度の高い材料ですが、噛み合わせが不適切な場合、破折のリスクはあります。
当院では咬合診断・調整を含め、長期安定を前提とした設計を行っています。
ホワイトニング
クリーン歯科のホワイトニングは以下の4つの方法があります。
※歯石の付着や歯ぐきの炎症がある場合は歯周病治療を先に行う必要があります。
ホームホワイトニング(ご自宅で行うホワイトニング)
使用製品
ティオンホームプラチナ(過酸化尿素10%)
(効果はゆっくりだが、痛みは出にくく、後戻りしにくい)
オフィスホワイトニング(院内で行うホワイトニング)
使用製品
- オパールエッセンスBOOST(過酸化水素35%)
(効果は最も早いが、痛みも出やすく、後戻りしやすい)
- ティオンオフィス(過酸化水素23%)
(効果は早く、痛みも出にくく、後戻りしやすい)
デュアルホワイトニング(ホームホワイトニング後にオフィスホワイトニング)
使用製品
ウォーキングブリーチ(神経の無い歯の内部に漂白剤を入れるタイプ)
使用製品
過酸化水素+過ホウ酸ナトリウム四水和物
ホワイトニング症例
| 治療内容 |
歯の表面および内部に薬剤を作用させ、歯を白くする治療です。 |
| 治療期間 |
約2週間〜1ヶ月程度(個人差があります) |
治療回数 |
1回〜3回程度(希望する白さや歯の状態により異なります) |
| 費用 |
33,000円〜60,500円(税込) ※土日祝日は+5,500円(税込)いただきます |
| リスク・副作用 |
・施術中や施術後に知覚過敏が生じることがあります
・色戻りする場合があります
・効果には個人差があります |
歯肉ケミカルピーリング
歯ぐき(歯肉)の黒ずみの原因は大きく2つあります。
- 被せ物や詰め物の金属からイオンが溶け出しているもの(メタルタトゥー)
- 喫煙や口呼吸により、メラニン色素が沈着したもの
①の場合は、原因の金属を除去してセラミック等の金属を使用しない材質に変えることで改善する場合もありますが、あまり改善しないことも多いです。
②の場合は、メラニン色素が集まった組織自体を垢のように剥がし、新しい組織が出来るのを待つことで、ピンク色に改善できます。痛みはなく、2~3日後から剥がれ始め7~10日程度でほとんど剥がれ落ちてキレイになります。
歯ぐきのターンオーバーは2週間程度なので、これ以降の後戻りはあまりありません。ただし、喫煙や口呼吸等の原因が改善されなければ、新たに黒ずむ可能性はあります。
ケミカルピーリングの流れ